От една клетка до чудото на живота – всяко делене е стъпка към сбъдната мечта
%201%20(1).webp)
Какво представлява IVF Mobile?
Ин витро клиника „София“ въведе уникален за България и Европа софтуер, който позволява на пациентите да наблюдават своите яйцеклетки и ембриони в реално време, чрез персонализиран онлайн достъп.
Системата е изградена с помощта на японската технология Astec — един от водещите световни производители на time-lapse инкубатори и лабораторно оборудване.
Чрез специално разработен софтуерен интерфейс, пациентите могат да влизат в защитена онлайн платформа, където в реално време да следят развитието на своите ембриони по дни, да виждат изображения, както и ключови етапи от култивацията.Развитието на ембриона е чудо на природата, съчетано с прецизността на науката.
От една клетка до сложна структура, готова за живот – това е пътят, който наблюдаваме с внимание, грижа и дълбоко уважение всеки ден в лабораторията. Да наблюдавате този процес е като да станете свидетели на най-ранните мигове от създаването на живот, а ние ще бъдем до Вас, за да преведем науката в емоция и надежда.
За първи път в България
Как протича развитието на ембрионите?
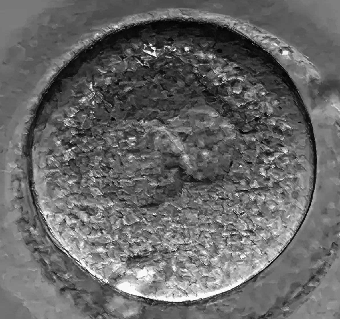
Началото на живота — оплождането
След оплождането започва едно удивително пътешествие — превръщането на оплодената яйцеклетка в ембрион, готов за имплантация. Нормално оплодената яйцеклетка има два пронуклеуса – единият от майката, а другият – от бащата. Това е началото на нов живот, който вече носи уникален генетичен код.
Какво се вижда? – На екрана се вижда една голяма кръгла клетка с две ясно различими проядра – това е знак, че оплождането е настъпило успешно. Тези две проядра съдържат генетичната информация на майката и бащата и скоро ще се слеят в една обща клетка – зигота.

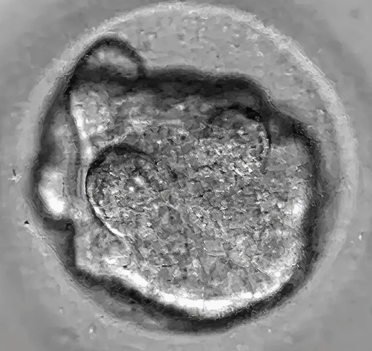
Първи клетъчни деления – зиготата (оплодената яйцеклетка) става ембрион
Зиготата започва да се дели – от една клетка стават 2, след това 4 – тези клетки се наричат бластомери. В този етап ембриолозите оценяват симетрията и качеството на клетките, както и наличието на фрагментация. В идеалния случай деленето е симетрично, т.е. бластомерите имат сходен размер и се делят синхронно – 2, 4, 8 и т.н. Неравномерното делене е често явление при човешките ембриони, като леката асиметрия не е непременно признак на лошо качество – много ембриони с неравномерни деления достигат до стадий бластоцист и водят до успешна бременност.
Какво се вижда? – голямата кръгла клетка се е разделила на 2, 3, 4, 5 или повече малки клетки, които все още са обградени от прозрачна обвивка – zona pellucida. Клетките не винаги са еднакви по размер и това е напълно нормално при човека.

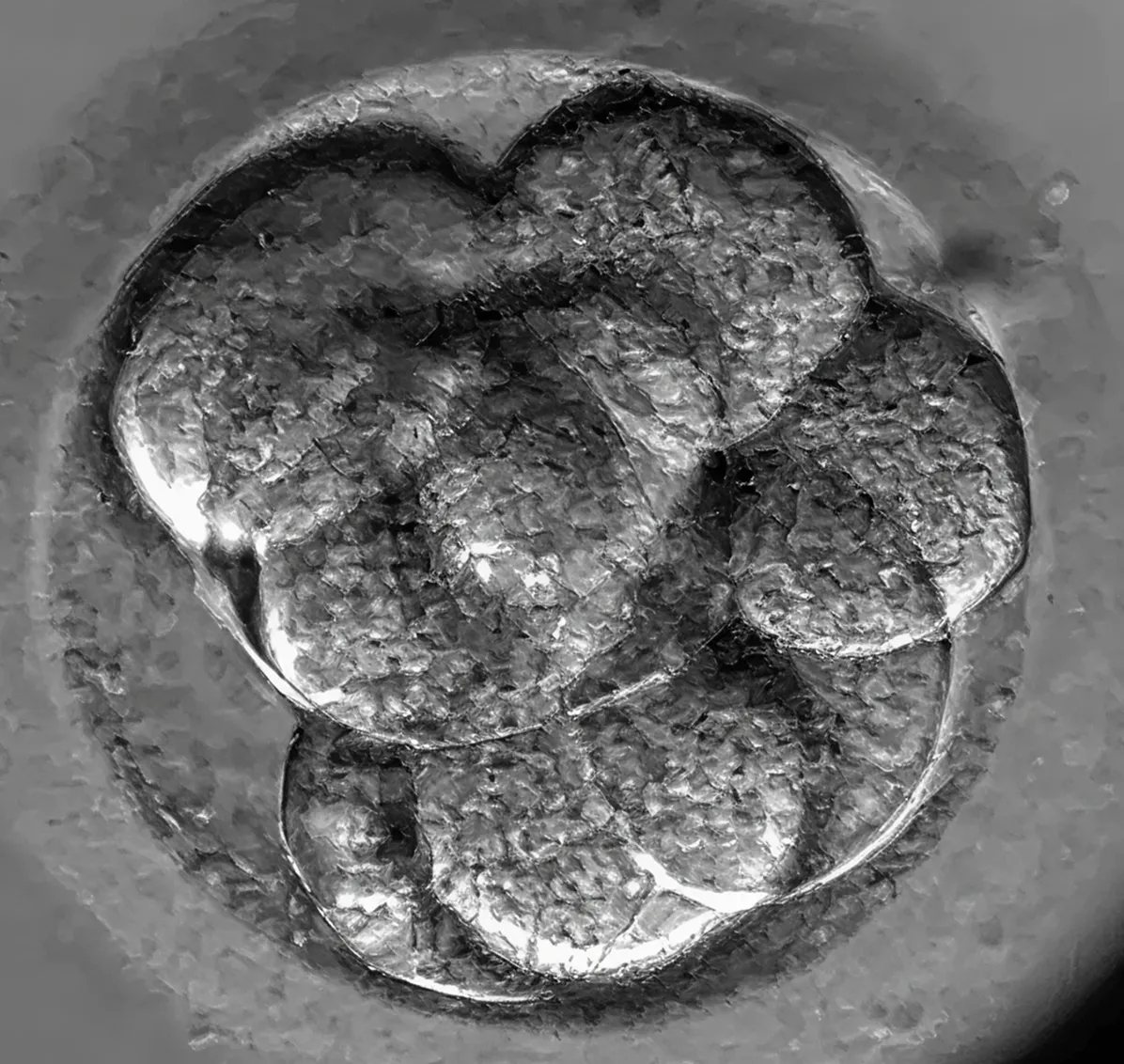
Многоклетъчен ембрион
Ембрионът вече има около 8 клетки (бластомери). Това е моментът, в който клетките започват да си „говорят“ помежду си – да обменят сигнали и да се координират в развитието.
Какво се вижда? – Сега ще видите повече клетки – обикновено 7–9. Те вече започват да заемат различни позиции и понякога изглеждат неравномерни. Това е естествен процес, който подготвя ембриона за следващия етап.

Морула
Клетките започват да се сливат и уплътняват – ембрионът придобива вид на малка „къпина“ – нарича се морула (от латинското morus – черница). Вътрешните и външните клетки вече започват да се специализират – първите ще станат бъдещият ембрион, а външните – плацентата.
Какво се вижда? – но този етап клетките вече не се виждат поотделно – започва специализацията им; ембрионът изглежда по-компактен и светлината се отразява различно върху повърхността му.

Бластоцист
Ембрионът вече е съставен от 100-120 клетки и вече е много по-голям. Обвивката (Zona pellucida) е много изтъняля, защото ембрионът се готви да се „излюпи“ от нея.
Какво се вижда? – На екрана се появява нова структура – бластоцист. В центъра ще забележите малка светла кухина– това е бластоцела, а по периферията – тънък слой клетки (трофектодерм), който ще даде началото на плацентата. От едната страна има плътна група от клетки – вътрешна клетъчна маса, от които ще се развие бебето.

Излюпване и имплантационна готовност
Това е последния етап преди ембрионът да намери своето място в утробата. Обвивката му се е разкъсала и през отвора може да се показва част от бластоцистът, който вече е напълно готов да се прикрепи към маточната стена. Някои бластоцисти продължават да се разширяват и започват да се освобождават от обвивката.
Какво се вижда? – На екрана може да се види как бластоцистът „излиза“ от зоната си – това е т.нар. хачинг (hatching) – финалната подготовка преди имплантацията, момент, който винаги вълнува екипа и родителите.

Често Задавани Въпроси
Какво прави IVF mobile различен от другите системи?
IVF mobile е първата българска система, която дава възможност на пациентите в реално време да виждат своите ембриони. Технологията е разработена с японската система Astec и е съобразена с всички международни стандарти за безопасност и защита на данните.
Какво се случва след шестия ден?
След приключване на наблюдението ембриолозите избират най-добрите ембриони за трансфер или замразяване. Достъпът до вашите кадри се запазва за определен период и можете да ги преглеждате дори след това.
Ако не виждам движение, означава ли това, че нещо не е наред?
Не. Развитието на ембрионите не е непрекъснато движение – то се случва на интервали. Системата записва всеки етап, но повечето промени са видими само през определени часове. Ембриолозите следят процеса постоянно и ще ви информират, ако има нещо извън нормалното.
Какво ще виждам на екрана?
Ще виждате реални изображения на вашите ембриони под микроскоп. В началото – една клетка с две проядра, след това деленията, образуването на морула и накрая красивата бластоциста с изтънена обвивка. Всяка промяна е знак, че животът напредва.
Ще получа ли запис или снимки?
Да, при желание можете да получите кратко видео или серия от кадри с развитието на вашите ембриони – чудесен спомен от началото на едно ново начало.
Колко дни ще мога да гледам?
Обикновено развитието се наблюдава в рамките на 5 до 6 дни – от оплождането до стадия на бластоциста. След това се извършва трансфер или замразяване, според индивидуалния план на лечението.
Ще виждам ли всичките си ембриони?
Да, системата показва всички оплодени яйцеклетки, които се развиват в инкубатора. Всеки ембрион е отбелязан с номер, така че да ги различавате лесно.
Мога ли да споделя достъпа с партньора си?
Да. Достъпът може да бъде споделен и двамата родители могат да наблюдават развитието на ембрионите си едновременно.
Как мога да гледам моите ембриони?
След активиране на профила ви ще получите уникално потребителско име и парола, чрез които можете да влезете в приложението ЕмбриоВижън от телефон, таблет или компютър. Можете да гледате по всяко време, където и да се намирате.
Колко често се правят снимките?
Системата прави снимки автоматично на всеки 15 минути, създавайки таймлапс видео, което показва развитието от зигота до бластоциста – без човешка намеса и без изваждане от инкубатора.
Безопасно ли е за ембрионите?
Да. Камерата е вградена вътре в инкубатора и работи без да нарушава средата, в която се развиват ембрионите. Няма светлина, топлина или вибрации, които да влияят на развитието. Ембрионите остават в напълно стабилни условия през цялото време.
Какво представлява IVF mobile?
IVF mobile е иновативна система за наблюдение на ембрионите в реално време. Тя използва високотехнологичен инкубатор с вградена камера, която заснема развитието на всеки ембрион през целия му престой в лабораторията. Пациентите могат да наблюдават тези кадри през защитен онлайн достъп.
Готови ли сте да видите вашите ембриони?
%202%20(1).png)